肿瘤防治竭“镜”所能 ——巴南区第二人民医院外一病区开展 首例多学科联合腹腔镜直肠癌根治术+乙状结肠造口还纳术
发布人:cqhxyy 发布时间:2024-07-22
近日,巴南区第二人民医院外一病区开展首例多学科联合腹腔镜直肠癌根治术+乙状结肠造口还纳术,手术非常成功,术后6小时患者即可下床活动,患者术后第5天患者出院。
多科协作制定手术方案
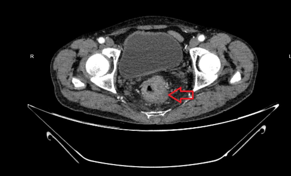
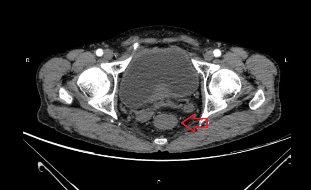
4月10日57岁的张叔叔因“大便习惯改变8月”到外一病区苟定奇医生处就医。CT提示直-乙交界段结肠壁不均匀增厚,增强后呈明显强化,考虑恶性肿瘤性病变,累及外壁、左侧肛提肌;肠镜下活检:(直肠粘膜)活检组织:腺癌。诊断:直肠恶性肿瘤(T4Bn1m0 ⅢC)伴梗阻。
外一病区医疗团队组织术前讨论,考虑患者肿瘤较大已造成梗阻,且侵犯周围组织,针对该患者的情况,若直接手术切除肿瘤,则对身体造成较大创伤,同时很难做到肿瘤病灶的完全切除,且术后复发风险较高。遂立即启动MDT(多学科协作),邀请麻醉科、肿瘤科、放射科、营养科等专家进行讨论,为患者制定周密的治疗方案,即一期腔镜预防(暂时性、保护性)造口+放化疗,二期腔镜直肠癌根治+造口还纳术的治疗方案。


快速精准切除肿瘤
为保证二期手术的成功,保障造口近端有足够长的肠段用于与直肠下段吻合,外一病区医疗团队术前细致评估影像资料,判断肿瘤范围,为患者行一期手术时选取了合适位置行乙状结肠双腔造口术,术毕转入肿瘤科进一步行放疗+卡培他滨化疗。
于7月8日患者按计划再次来院,经3月放化疗后增强CT及增强MRI均提示直肠上段肿物较4月明显减小,周围间隙清楚,适宜开展二期手术,7月14日手术过程中外一病区医疗团队竭力发挥腹腔镜手术优势,精准切除直肠肿瘤的同时予造口还纳,为患者避免了开腹扩大伤口或二次造口需三期手术的风险,整台手术耗时不到3小时,术中出血仅15-20ml,成功按计划完成了对患者的治疗。
快速康复
通过快速康复计划(ERAS),该患者术后6小时即下床行走,胃肠功能恢复快,进食早,患者术后第5天办理出院。
科普小讲堂
马鹏飞主任介绍,结直肠癌是最常见的恶性肿瘤之一,最常见的症状是排便时出血或大便习惯改变,如排便增多或持续便秘、腹泻等,腹痛和无法解释的体重下降可能是该癌症的信号。建议有上述症状的人群定期做以下三种筛查:1.直肠指检查;2.大便隐血实验;3.肠镜检查。做到早发现,早诊疗。
上一篇:安全始于“心” 防范鉴于“行” ——2024年“安康杯”安全生产赛马比拼竞赛活动 下一篇:用“四强化”打好“防汛主动仗“
